Yeni bir kök hücre tedavisi, geri döndürülemez kornea hasarını iyileştirdi

Kornea hasarı nedeniyle yaşanan ve genellikle geri döndürülemez olarak nitelendirilen görme kayıpları artık yeni bir tedavi yöntemiyle onarılabilir hale geliyor. Massachusetts Eye and Ear’daki bilim insanları tarafından geliştirilen kök hücre tedavisi, korneadaki ciddi hasarları başarıyla onarmayı başardı ve hastalara görme yeteneklerini geri kazandırdı.

Daha fazlasını oku

Kemik hastalıkları tedavisinde yeni çözüm: Görünür ışıkla sertleşen Hidrojel

Kemik eksikliklerinin tedavisi, gerek yaralanmalar gerekse hastalıklar nedeniyle gündeme gelen önemli bir tıbbi sorun olarak öne çıkıyor. Geleneksel yöntemler invaziv ve zahmetli olurken yeni geliştirilen bir hidrojel bu süreçleri kökten değiştirme potansiyeline sahip. Görünür ışığa maruz kaldığında sertleşen bu hidrojel, kemik dokusunun doğal şekilde yenilenmesini destekliyor.

Daha fazlasını oku

Sentetik Biyoloji: Yeni Yaşam Formları Yaratmanın Geleceği

Sentetik biyoloji, yaşamı anlama ve onunla etkileşim kurma biçimimizde dönüşüm yaratma potansiyeline sahip son teknoloji bir alan olarak ortaya çıkmıştır. Canlı sistemlerin yapısını ve işlevini anlamak, tasarlamak, yeniden yapılandırmak amacıyla mühendislik ilkelerini kullanır.Sentetik olarak yeni biyolojik bileşenlerin, devrelerin ve sistemlerin oluşturulduğu bir alandır.

Bu yazımızda, sentetik biyolojiyi çevreleyen heyecan verici olasılıkları ve etik hususları keşfedeceğiz.

Yaşamın yapı taşları: DNA sentezi ve genetik mühendisliği

Sentetik biyolojinin kalbinde DNA sentezi ve genetik mühendisliği yatar. Araştırmacılar, DNA dizilerini manipüle ederek yeni genetik kodlar tasarlayabilir ve oluşturabilirler. Bu sayede tamamen yeni organizmaların ortaya çıkmasına veya mevcut organizmaların geliştirilmesine olanak sağlanabilir. Bu süreç sayesinde bilim insanları, hastalığa karşı artan direnç veya gelişmiş üretkenlik gibi istenen özellikleri organizmalarda tanıtabilirler. Böylece, tıp ve tarımdan enerji ve çevre korumaya kadar uzanan alanlarda fırsatlar dünyasının kapısı aralanmış olur.

Mikroplardan mega yapılara: Sentetik biyolojinin uygulamaları

Sentetik biyoloji, birçok alanda ciddi bir potansiyele sahiptir. Tıpta, ilaç üretebilen veya belirli hastalıkları hedef alabilen genetiği değiştirilmiş mikroorganizmaların gelişmesine yol açabilir. Tarımda, sentetik biyoloji mahsul verimini optimize edebilir, besin içeriğini geliştirebilir ve sürdürülebilir tarım uygulamaları yaratabilir. Ayrıca sentetik biyoloji alanında, bilim insanlarının atıkları verimli bir şekilde biyoyakıtlara dönüştürebilen mikroorganizmalar tasarladıkları biyoenerji uygulamaları da vardır. Tüm bunlara ek olarak, sentetik biyoloji zararlı kimyasallara ve malzemelere biyo-temelli alternatifler yaratarak çevrenin korunmasında çok önemli bir rol oynayabilir.

Yaşam formları tasarlamak: Biyoinformatik ve bilgisayar modellemesi

Biyoinformatik ve bilgisayar modelleme, sentetik biyoloji alanının ayrılmaz bir parçasıdır. Bilim insanları, hesaplama araçlarının gücünden yararlanarak karmaşık biyolojik sistemleri simüle ve analiz ederler. Böylece, yeni yaşam formlarının fiziksel olarak yaratılmadan önce davranışları tahmin edilir. Sonuç olarak; tüm bu analizler, genetik tasarımların optimizasyonuna izin verir, deneme yanılma deneylerinde zaman ve maliyeti azaltır. Bilgisayar biliminin sentetik biyoloji ile entegrasyonu, canlı organizmalar üzerinde daha verimli ve hassas mühendisliğin yolunu açar.

Etik hususlar ve önümüzdeki zorluklar

Sentetik biyolojinin potansiyeli yüksek olsa da önemli etik kaygıları da beraberinde getirir. Bilim insanları yeni yaşam formları yaratma becerisi kazandıkça güvenlik, ekolojik etki ve teknolojinin sorumlu kullanımı ile ilgili sorular ön plana çıkar. Yenilik ve tedbir arasında bir denge kurmak çok önemlidir. Sentetik biyolojinin etik ve sorumlu bir şekilde geliştirilmesini sağlamak için; bilim insanları, politika yapıcılar ve halk arasında sağlam düzenlemeler, risk değerlendirmeleri ve açık diyalog gereklidir.

Sentetik biyoloji, yaşamı tasarlama yeteneğimizde ileriye doğru dönüştürücü bir sıçramayı temsil eder. Araştırmacılar, farklı disiplinlerden ilkeleri birleştirerek arzu edilen özelliklere sahip yeni organizmalar yaratmanın mümkün olan sınırlarını zorlarlar. Ancak, gelişmekte olan bu alanda yol alırken, içerik oluşturucu rolünü oynamanın getirdiği etik kaygıları ve zorlukları ele almak çok önemlidir. Sorumlu düzenleme ve açık diyalog yoluyla, insanlık ve gezegen için daha iyi bir geleceği şekillendirirken, sentetik biyolojinin gücünden yararlanabiliriz.

Kaynak: Ana Kaynak için Tıklayın

TIP ALANINDAKİ ÖNEMLİ 10 BİYOTEKNOLOJİ GELİŞMESİ

Artık ameliyathanelerde doktorlar robotik kodları birkaç nanometre hassasiyetle yönlendirebiliyorlar ve hastaları bilgisayar ekranlarından uzaktan ameliyat edebiliyorlar.

Sadece bir polipeptit zincir dizisi olan DNA ekleme enzimleriyle donatılmış genetik laboratuvarları harikalar yaratabilir. İnsanların tüm genetik yapısı, anlaşılabilir genetik kodlara dönüştürülebilir.

Tıbbi Biyoteknoloji, son birkaç yılda büyük sıçramalarla ilerlemiştir. Bu yazıda, tıpta biyoteknolojinin bazı atılımlarını listelemek için yola çıktık.

  1. Kök Hücre Araştırmaları

Kök hücreler, bir organizmanın erken gelişimi sırasında sonsuza kadar bölünmeye devam edebilir ve vücut hücrelerine farklılaşma kapasitesine sahiptir. Bir laboratuvarda, araştırmacılar bu kök hücreleri belirli hücre türlerine farklılaşmak üzere programlayabilirler. Biyoteknoloji inovasyonunun devreye girdiği yer burasıdır. Yaşam kalitelerini ciddi şekilde etkileyen dejeneratif disk bozukluğu olan bir birey hayal edin. Kök hücre araştırmalarının yardımıyla, bu kök hücreleri laboratuvar ortamında in vitro büyütmek ve daha sonra etkilenen kişinin vücuduna geri yerleştirmek mümkün olabilir. Bu onların bilişsel keskinliklerini, görmelerini, duymalarını ve diğer fiziksel özelliklerini geri kazanmalarına yardımcı olacaktır. Bu kulağa biraz bilim kurgu filmi gibi gelse de umut vericidir.

2. İnsan Genom Projesi

Genellikle insanlık tarihinin en büyük keşiflerinden biri olarak övülen İnsan Genom Projesi (HGP), Ulusal Sağlık Enstitüleri ve ABD Enerji Bakanlığı tarafından koordine edilen uluslararası bir bilimsel araştırma projesiydi. İnsan DNA’sını oluşturan nükleotid baz çiftlerinin sırasını belirlemek amacıyla 1990 yılında başlatıldı. Nisan 2003’te araştırmacılar, tüm insan genomunun ön dizilimini tamamladıklarını açıkladılar. Araştırmacılar genlerin ve proteinlerin işlevleri hakkında daha fazla şey öğrendikçe, hastalıklara neden olan genleri tanımlamalarına yardımcı oldu.

3. Hedefe Yönelik Kanser Tedavileri

Standart kemoterapiler sağlıklı hücreler için toksiktir. Hedefe yönelik kanser tedavileri, sağlıklı hücrelere verilen zararı en aza indirmek için ya belirli moleküllerin işlevine müdahale ederek ya da yalnızca bilinen kanserli hücreleri hedefleyerek çalışan ilaçlardır. Ulusal Kanser Enstitüsüne göre, “Sonunda, tedaviler hastanın tümörü tarafından üretilen benzersiz moleküler hedeflere dayalı olarak kişiselleştirilebilir.”

4. Ameliyat için 3D Görselleştirme

Cerrahi, insan vücudu için acımasızdır ve iyileşme sürecini daha verimli hale getiren tıbbi atılımlar her zaman memnuniyetle karşılanır. Biyoteknoloji artık doktorların MRI ve CT taramaları kullanarak bir hastanın vücudunun içinin tüm 3D görüntüsünü görüntülemesini mümkün kıldı. Ayrıca, artırılmış gerçeklik, ilgili bilgilerin ilgili vücut bölümleri üzerinde doğrudan üst üste bindirilerek görüntülenmesine izin verecektir.

5. HPV aşısı

İnsan Papilloma Virüsü (HPV), rahim ağzı kanserine neden olan etkenlerden biridir. Kadınlarda en ölümcül ikinci kanserdir. Bu nedenle, başarılı bir HPV aşısı büyük bir tıbbi başarı olarak kabul edilir. ABD Gıda ve İlaç Dairesi (FDA), bazı PV aşılarının 9 – 26 yaş arasındaki kadınlarda kullanılmasını onaylamıştır.

6. Yüz Nakli

Yüz nakli, hastanın yüzünün tamamını veya bir kısmını bir donörün yüzüyle değiştirmek için deri greftleri kullanma işlemidir. İlk kısmi yüz nakli 2005 yılında Fransa’nın Amiens kentinde yapıldı. Bir sonraki başarılı yüz nakli ise beş yıl sonra İspanya’da yapıldı; bu aynı zamanda ilk tam yüz nakliydi. Bir kaza sonucu yüzü ağır hasar gören nakil hastası, 24 saat süren ameliyatta yeni bir burun, dudak, diş ve elmacık kemiklerine kavuştu.

7. CRISPR

Daha önceki bültenlerimizde daha detaylı yer verdiğimiz, Kümelenmiş Düzenli Olarak Serpiştirilmiş Kısa Palindromik Tekrarlar (CRISPR), tıbbi araştırmalarda çığır açan bir araç olarak selamlanan nispeten yeni bir gen düzenleme sistemidir. Araştırmacılar, yeni bulunan mutasyonları aktif olarak test ederek ve hedeflenen tedavileri düzeltmek için sürekli olarak genetik mutasyonlara ayak uydurabilirler

8. 3D Baskılı Organlar

Yapay uzuvlar yüzyıllardır kullanılmaktadır ve biyonik uzuvların hareketliliği ve çok yönlülüğünde sürekli bir gelişme olmuştur. Şimdi biyonik teknolojideki ve 3D baskıdaki yeni gelişmeler onu daha da ileri götürdü. Kalp, böbrek ve karaciğer gibi iç organların yapay olarak inşa edilmesini mümkün kılmıştır. Doktorlar bunları başarılı bir şekilde ihtiyaç duyan bireylere yerleştirmeyi başardılar.

9. Sinir Rejenerasyonu

Nörodejeneratif hastalık ve omurilik yaralanmasından kaynaklanan sinir hasarı, büyük ölçüde geri döndürülemez olarak bilinir. Bununla birlikte, araştırmacılar, yaralı sinir hücrelerinin yenilenmesini ve büyümesini destekleyen nadir enzimlerin sentezlenmesinde önemli ilerleme kaydetmiştir. Nörotrofinler, nöronların gelişimini destekleyen proteinlerdir. Güçlü nörotrofik özelliklere sahip küçük moleküler zincirlerin bir dizisidir. Bu nörotrofinler, protein bazlı ajanların bazı eksikliklerine sahip olsa da, araştırmacılar bunu sinir rejenerasyonu için olası bir yol olarak takip ediyor.

10. Beyin Sinyallerini Konuşmaya Çeviren Teknoloji

Bilim insanları, bir ses sentezleyici kullanarak beyin sinyallerini sesli konuşmaya çevirebilen bir cihaz geliştirmeye çalışıyorlar. Bu, hastalık veya travmatik yaralanmalarla felç olmuş bireylerle iletişim kurmada inanılmaz bir araç olarak hizmet edecektir. Ayrıca bilim insanları, bu cihazları epileptik hastalarda nöbetlerinin kaynağını izole etmek için kullanabileceklerini bulmuşlardır.

Kaynak: Bu sitenin yararlandığı kaynakta yazıyı görmek için tıklayınız

Cilt kanseri: Yeni tedavi seçeneği başarıyla test edildi.

Cilt kanserinin en yaygın türü olan bazal hücreli karsinomlar, yüz gibi kronik olarak güneşe maruz kalan bölgelerde görülür. Özellikle lokal olarak ilerlemiş tümörlerin cerrahi olarak tedavisi zor olabilir. MedUni Vienna ve University Hospital Vienna’dan bir araştırma ekibi şimdi yeni bir terapi türünün etkinliğini araştırdı ve umut verici sonuçlar elde etti: Aktif madde TVEC, tüm çalışma katılımcılarında bazal hücreli karsinomun boyutunda bir azalmaya yol açtı, bu sadece cerrahi olarak çıkarılmasını iyileştirmekle kalmadı, aynı zamanda bazı hastalarda tümörün tamamen gerilemesini de sağladı. Çalışma, önde gelen dergi Nature Cancer’da yayınlandı .

Çalışmada şimdiye kadar sadece yüzeyel melanom metastazlarının tedavisinde onay almış olan Talimogene Laherparepvec (TVEC) kullanıldı.

TVEC, tümör hücrelerini özel olarak yok eden ve aynı anda bağışıklık sistemini harekete geçiren genetiği değiştirilmiş bir herpes simpleks virüsüdür.

Çalışmanın amacı, planlanan operasyon öncesinde tümörün boyutunu küçültmek ve böylece hastaların operasyon sonrası herhangi bir fonksiyonel veya kozmetik kısıtlama yaşamamasını sağlamaktır.

Çalışmaya bazal hücreli karsinomunun boyutu ve lokalizasyonu nedeniyle flep veya deri grefti gerekebilecek 18 hasta dahil edildi.

Her birine, tümör cerrahi olarak çıkarılmadan önce 13 haftalık bir süre boyunca altı intralezyonel TVEC enjeksiyonu uygulandı.

“Bu, hastaların yarısında tümörün boyutunun o kadar küçülmesini sağladı ki, doğrudan yara kapatma ile cerrahi mümkün oldu. Vakaların üçte birinde, daha sonraki histolojik incelemede daha fazla canlı tümör hücresi bile görülmedi. Tedavi edilen tüm tümörler en azından küçüldü ve tedavi altında hiçbir tümör daha fazla büyümedi. Tedavi hastalar tarafından iyi tolere edildi,” diyor Dermatoloji Bölümü’ndeki Cilt Tümörü Merkezi Başkanı baş araştırmacı Christoph Höller, sonuçları özetleyerek.

Dermatoloji Bölümü’nden ilk yazar Julia Ressler ise şunları ekliyor: “Bazal hücreli karsinom için yeni tedavi seçeneği sadece cerrahiyi kolaylaştırmakla kalmıyor, aynı zamanda şekil bozukluğuna yol açan operasyonlardan ve işlevsel kısıtlamalardan kaçınmaya da yardımcı oluyor.”

Klinik çalışmaların yanı sıra Dermatoloji Bölümü araştırmacıları, St. Anna Çocuk Hastanesi ile işbirliği yaparak, TVEC tedavisi sırasında tümör dokusundaki bağışıklık savunmasının güçlendiğini gösteren kapsamlı analizler gerçekleştirdi.

Bu sonuçlar, TVEC’nin, özellikle büyük cerrahiden kaçınılması gereken hastalarda, bazal hücreli karsinomun neoadjuvan, yani cerrahi öncesi tedavisi için umut verici bir seçenek olabileceğini düşündürmektedir. Bu yeni seçeneğin faydalarını daha geniş bir hasta popülasyonunda doğrulamak için daha fazla çalışma yapılacaktır.

Kaynak ve devamına Buradan ulaşabilirsin.

Kalıcı Dişlerimizi Yeniden Çıkarabilecek miyiz?

‘Kalıcı’ dişleri yeniden çıkarma çalışmalarının iç yüzü; kök hücreler, gen düzenleme, ilaçlar ve daha fazlası.

Eğer yetişkin bir insan iseniz, dişlerin yenilenmesiyle ilgili bir iki şey biliyorsunuzdur. Altı yaş civarında çoğumuz, diş çıkarma adı verilen bir süreçte bebeklik dişlerimizi kaybederiz ve narin yapıdaki ilk diş takımımızı daha iri, kalıcı dişlerle değiştiririz. Bu olgu, dişlerini sürekli yeniden çıkaran yaratıkları akla getiriyor. Örneğin zamanla testere biçiminde on binlerce diş çıkaran kum köpekbalıkları ve ön dişleri lifli yiyeceklerle aşındıkça sürekli büyüyen tavşanlar. Eğer balıklar, tavşanlar ve ufaklıklar uyurken bunu yapabiliyorsa, o halde neden yetişkinler eskiyen azı dişlerini doğal şekilde atıp, parlayan yenileriyle değiştirmiyor? Ayrıca bu bağlamda, bilim böyle bir marifeti gerçeğe dönüştürmeye tam olarak ne kadar yaklaştı? Lütfen, yaklaşan bir diş ağrısı hissediyorum…

Neden bunu hemen şimdi yapmıyoruz? Bu dişli hedefte ne ile mücadele ettiğimizi daha iyi anlamak için Dr. Ophir Klein (San Francisco – California Üniversitesinde çocuk sağlığı ve ağız ve yüz bilimleri profesörü) Popular Science’a kısa bir tarih dersi sundu.

Uzun süre önce; ünlülerin diş kaplamalarından, beyazlatma kitlerinden ve hatta diş iplerinden bile önce, “Hayvanlar omurgasızlara ve omurgalılara ayrılmıştı” diye açıklıyor Klein. O zamanlar, yüzlerce milyon yıl önce, “En eski omurgalılar sürüngen benzeri canlılardı” ve “memeliler de dinozorlar, kuşlar ve yüzergezerler gibi oradan geliyor.”

Klein’in açıkladığına göre kaderin cilvesine bakın ki “Dişler, omurgalı ağzının ayrılmaz bir parçası haline geldi,” ama “nereden ortaya çıktıkları tam belli değil,” diye ekliyor; “Ağız içerisinde mi başlamışlardı yoksa balıklarda olduğu gibi dışarıdan içeriye göç eden pullar biçiminde mi başlamışlardı?” Tamam, iğrenç! Bu erken dönem dişlerin basit olduklarını biliyoruz ve bir şekilde bugün balıklarda gördüğümüz dişlere benziyor olabilirlerdi. “Eğer somon balığının ağzını açarsanız, tüm dişler aynıdır ve sürekli olarak değişirler” diye açıklıyor Klein. “Bu kök hücrelerin yön verdiği bir süreç.”

Dişler, memelilerin ve nihayetinde insanların ortaya çıkmasıyla daha da karmaşık hale gelmiş. “Bir tür içerisindeki bütün dişlerin aynı olmasından ziyade, ki buna homodont dişlilik denir; bizde heterodont dişlilik var” diyor Klein. Köklerin gelişimiyle birlikte, her biri belli işler yapan “Azı dişleri, küçük azı dişleri, köpek dişleri ve kesici ön dişlerimiz var”. Birçok memelide, aşınma ve yıpranmaya karşı bir savunma stratejisi olarak sürekli büyüyen dişler ve azı dişleri evrimleşmişse de insanlarda böyle olmamış. Kalıcı dişlerimiz çıktığında, sert dış kısım (mine), “kalıcıdır ve artık onu yapacak hücrelerimiz yoktur.” Diğer bir ifadeyle, evrimsel sürecin bir noktasında, dişleri sürekli değiştirmek için gereken bazı özel öncül hücreleri kaybetmişiz.

Bu yüzden belki de kalıcı dişlerimiz bir nevi, karmaşıklığa karşı tekrarlanabilirlikten ödün verdiğimiz atasal bir değiş tokuşu temsil ediyordur. Ne olursa olsun, uzmanlar bu evrimsel gelişimin altını oymaya (veya onu zenginleştirmeye) tam olarak ne kadar yakın?

Kalıcı insan dişlerinin yeniden çıkarılmasına giden bir “ara adım”, yapay malzemeler ile kök hücrelerin kaynaşmasını kapsıyor olabilir.

“Yapay mine yapmakta oldukça iyiyiz” diyor Klein. “Belki de dişin içerisindeki kök hücreleri kullanarak, dişin bu yaşayan kısmını yeniden çıkarır ve sonrasında tıpkı şu an kanal tedavisinde yaptığımız gibi bir taç yaparak, biyomühendislikle yeni bir diş oluşturabiliriz.” Klein devamında şöyle ekliyor: “Eğer diğer hayvanların kök hücrelerden dişlerini nasıl yeniden çıkarabildiğini öğrenebilirsek, aslında laboratuvarda tümüyle yeni bir diş çıkarabiliriz.” Klein bunun önümüzdeki beş yıl içinde göreceğimiz bir şey olmadığını düşünüyor fakat “her şey çok hızlı ilerlediği için 20-30 yıl içerisinde gerçekleşirse şaşırmayacağını” söylüyor.

İlk bakışta bilim kurgu gibi gelebilir fakat burada öğütülecek bir sürü şey var.

Şikago – Illinois Üniversitesi Diş Hekimliği Fakültesinin periodonti bölümünde profesör olan Dr. Salvador Nares şöyle açıklıyor: “Diş başlı başına zor bir mesele; onu kemiğin parçası haline getirmek, çenenizle bütünleştirmek ise yenilenmenin başka bir tarafı.” Nares, aynı bölümde yardımcı profesör olarak çalışan Dr. Afsar Naqvi ile Popular Science‘a konuştu.

“Nihayetinde bilim insanlarının hayali, diş eti dokusuna bir tür kapsül veya başka bir şey yerleştirerek sonrasında bunu büyütüp diş haline getirmek” diyor Nares. “Fakat burada kolay olmayan şeyler var çünkü doğru ve tam olan belli bir morfolojiniz olması gerekiyor.” Dişin dayanıklı ve doğru şekle sahip olması gerekiyor, ayrıca yerinde kalmalı ve vücudunun geri kalanıyla iyi çalışmalı. Tüm bunların ötesinde, “Büyümesinin durması gerekiyor çünkü büyümeye devam ederse, buna kanser denir” diyor Nares. Profesör işlerin bugün durduğu nokta konusunda ise bebeklerin çıkan dişlerindeki kök hücreler üzerinde yürütülen araştırmalara işaret ederek, “aslında belli laboratuvarların bu hücrelerden faydalanarak dişin bazı kısımlarını ürettiğini” söylüyor.

Hücre iskelesi (hücre tohumları ekebildiğimiz yapılar) ve biyo-yazdırma gibi alanlar da CRISPR tarzındaki gen düzenleme yöntemleri gibi ilerledi.

“Gen düzenleme hastaların kendi hücre tiplerini kullanıp onları istenen hücre tipine yönlendirerek ve onları onarım ve yenilenme amacıyla kullanarak, organoidlerin reddedilmesinden kaçınmada çok umut verici bir yol olabilir” diye açıklıyor Naqvi.

Ayrıca teoride, günün birinde insanlarda diş büyümesini mahmuzlayabilecek bir antikor ilacına yönelik araştırmalar da var. Fakat bu araştırmada yer almayan Naqvi’nin, “diş dokularına özgü olmayan” bir geni hedef alacak (USAG-1) bu olası tedaviyle ilgili endişeleri var.

“Bu gen aralarında böbreklerin de bulunduğu farklı dokularda, çok yüksek bir seviyede ifade ediliyor” diyen Naqvi şöyle ekliyor: “Diş büyümesinin ötesinde, kemik büyümesini olumlu, olumsuz veya başka bir şekilde etkilerse ne olacak? Kontrol edilmek zorunda.”

Popular Science, USAG-1 araştırmalarında yorum için baş yazar Dr. Katsu Takahaşi ve Kyoto Üniversitesi Hastanesine e-posta gönderdi ancak hiçbiri yanıt vermedi.

Yine de dişlerin yeniden çıkarılmasına yönelik araştırma boyutu göz önüne alındığında, elbet bir gün işe yarar bir şey çıkar değil mi? Altı aylık diş temizliklerinin canı cehenneme?

“Eğer bu soruyu beş, on yıl önce soracak olsaydınız, tüm bu süreçte ne kadar uzakta olduğumuz bağlamında muhtemelen farklı bir cevap alırdınız” diyor Nares. “Fakat yapay zekanın hızla hesaplama yapabilmesi ve bizim görmediğimiz şeyler ile örüntüleri görmesiyle beraber, keşiflerin hızlanacağını ve dişleri yeniden çıkarma ya da diğer dokuları yetiştirme fikrinin uygulamaya döküleceğini kafamızda canlandırıyoruz.” Yine de Nares, önümüzde on yıl içinde tüm bunların gerçeğe dönüştüğünü görmeyi beklemediğini söyleyip uyarıyor: Güvenlik endişelerinden, deneylerden, düzenleyici kurallardan ve genel olarak “yapılması gereken bir sürü iş”ten bahsederek, “Bence hâlâ epey uzaktayız” diyor.

Bu arada Nares, sahip olduğumuz kalıcı dişlerden saygıyla bahsediyor. “Birlikte doğduğumuz bu doğal dişlenmenin başka bir örneği yok” diye açıklıyor.

Kalıcı dişlerin yetişkinlik süresince işlevini yerine getirmesi için fırçalama, diş ipi kullanma ve temizlik de dahil sürekli bakım yapılması gerekiyor. Üstelik diş sağlığı dişler ve diş etleriyle de sınırlı değil; ağzınızın durumu, genel sağlığınızın bir göstergesi. Araştırmacılar diş etiği sağlığını Alzheimer, diyabet ve diğer sağlık durumlarıyla ilişkilendirmiş.

“Okurlara ağız hijyenlerinden vazgeçmemeleri konusunda uyarıda bulunuyorum” diyor Nares. “Çürüklere ve daha büyük ölçüde de dişleri gevşetip onların düşmesine yol açan diş eti hastalıklarına sebep olan tüm bu mikroplar, vücudun diğer kısımlarına yayılıyor ve gerçekten de ağızdan uzakta çeşitli etkiler meydana getirebiliyor.”

“Bu yüzden ağzınızı kesinlikle temiz tutun” diye ekliyor.

Kaynak ve devamına Buradan ulaşabilirsiniz.

Daha az yemek neden yaşlanmayı yavaşlatır: Bu molekül anahtardır

Sindirimde doğal olarak bulunan bir bileşik, sineklerin yaşam süresini uzatıyor ve yaşlı farelerin daha genç olmasını sağlıyor.

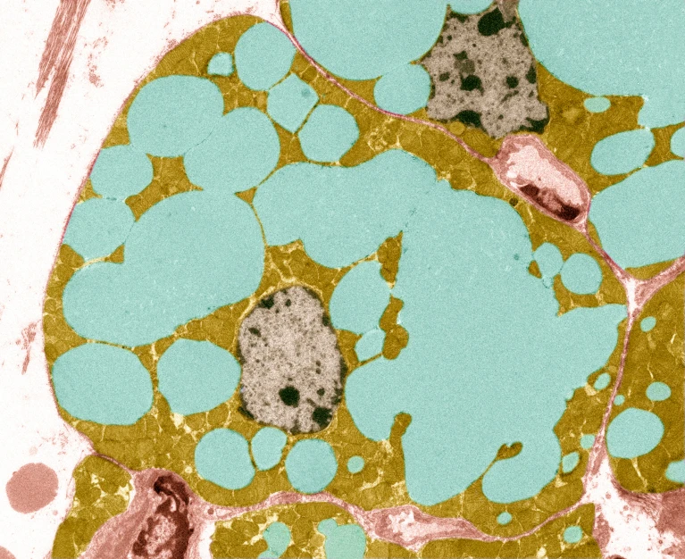
Yağ dokusundan alınan bir kesitin renkli transmisyon elektron mikroskobu görüntüsü, mavi ve sarı renklerle gösterilmiştir
Yağ dokusu (yapay olarak renklendirilmiş) sıkı, uzun vadeli kalori kesintisiyle azaltılır. Yeni tanımlanan bir molekül bu diyetin yaşlanma karşıtı etkilerini taklit eder. Kaynak: Steve Gschmeissner/SPL

Araştırmacılar, onlarca yıldır kalori alımında ciddi ve uzun süreli bir azalmanın birçok hayvanın ömrünü neden uzattığını çözmeye çalışıyor . Şimdi, bir ekip bir hapta kalori kısıtlaması sağlayabilecek bir molekül buldu – en azından sinekler ve solucanlar için.

Litokolik asit adı verilen molekül bağırsaktaki bakteriler tarafından üretilir ve yağların sindirimine yardımcı olur. 18 Aralık’ta Nature dergisinde yayınlanan iki makalede 1 , 2 , araştırmacılar litokolik asidin nematodlarda ( Caenorhabditis elegans ) ve meyve sineklerinde ( Drosophila melanogaster ) yaşam süresini uzatabildiğini ve yaşlı fareleri tekrar canlı hale getirebildiğini gösteriyor.

Litokolik asit almanın insanlarda aynı etkiyi yaratacağına dair henüz bir kanıt yok. Yüksek dozlarda toksik olabilir.

Yaşlanma ve uzun ömür çalışmaları, belirli 
bileşiklerin ömrü uzattığı iddialarıyla doludur; bu iddialar daha yakından incelendiğinde başarılı olamamıştır. Ancak ABD Ulusal Yaşlanma Enstitüsü Uzun Ömür Konsorsiyumu’nun baş araştırmacısı ve Arizona, Phoenix’teki Translasyonel Genomik Araştırma Enstitüsü’nde genomikçi olan Nicholas Schork, makalelerin dikkate değer derecede kapsamlı olduğunu söylüyor. Çalışmalarda yer almayan Schork, “Bunları çok ikna edici buldum,” diyor. “Potansiyel sağlık yararları hakkında iddialarda bulunmak için diğer birçok grubun yaptığının çok ötesine geçtiler.”

İncelemeye karşı koymak

Önceki çalışmalar kalori kısıtlamasının nematodlar, sinekler, fareler ve bazı primatlar dahil olmak üzere çeşitli hayvanlarda yaşam süresini uzatabileceğini göstermiştir . AMPK adı verilen bir proteinin kalori kısıtlamasıyla açıldığı ve faydalı etkilerinde önemli bir rol oynadığı bilinmektedir.

Ancak kalori kısıtlamasının tek bedeli sürekli açlık değil; kalori alımını yarıdan fazla azaltmayı gerektirebiliyor; yapılan araştırmalar bunu yağsız kas kütlesi kaybı , vücut ısısını düzenlemede zorluk ve muhtemelen enfeksiyon riskinde artışla da ilişkilendiriyor diyor Kaliforniya, Güney San Francisco’daki bir biyoteknoloji şirketi olan Calico Life Sciences’ta yaşlanma biyolojisi üzerine çalışan Andrea Di Francesco.Samanlıkta iğne aramak

Samanlıkta iğne aramak

Çin’deki Xiamen Üniversitesi’nden biyokimyacı Sheng-Cai Lin ve işbirlikçileri, AMPK 1’i açabilen bileşikleri aramak için farelerde kalori kısıtlamasının neden olduğu sayısız metabolik değişikliği incelemeye karar verdiler . Bu zorlu bir görevdi: metabolik reaksiyonlar sırasında üretilen bileşiklerin çoğu açlık veya kalori kısıtlaması sırasında bollukta değişiklik gösteriyor, diyor Lin. “Kaba kuvvet yaklaşımı benimsedik.”

Ekip, kalori kısıtlamasından sonra seviyeleri artan 200’den fazla bileşiği titizlikle analiz etti ve her birini AMPK’yi aktive edip edemeyeceğini belirlemek için test etti. Bunu yapabilen altı bileşikten biri, kalori kısıtlamasından sonra farelerde bulunanlara benzer seviyelerdeydi. Bu, safra adı verilen sindirim sıvısında bulunan bir kimyasal olan litokolik asitti .

Ekip daha sonra nematodlara, meyve sineklerine ve farelere litokolik asit verdi. Meyve sinekleri ve nematodlar, eklenen litokolik asiti tüketmemiş olanlardan önemli ölçüde daha uzun yaşadılar.

Kaynak ve devamınaBuradan ulaşabilirsin.

Yapay Zekâ Destekli CarePod ile Sağlık Hizmetlerinde Devrim

Sağlık hizmetlerinin geleceğini yeniden tanımlamak için cesur bir adım atan sağlık teknolojisi girişimi Forward’ın inovatif kurucusu Adrian Aoun, yapay zeka destekli “CarePods “ları ABD’deki alışveriş merkezlerinde yaygınlaştırmaya hazırlanıyor. Yakın zamanda 100 milyon dolarlık bir fon sağlayan Forward, Elon Musk’ın otopilot vizyonunu sürücüsüz arabaların verimliliğiyle birleştiren bu fütüristik kiosklardan 25 tane dağıtmayı hedefliyor.

CarePod deneyimi, check-up’ları tamamen otomatikleştirmek için tasarlandı ve hastalar için hızlı ve uygun sağlık değerlendirmeleri sunuyor. Aoun, geleneksel doktor muayenehanelerinin tarihe karıştığı ve yerlerini bu kutulara bıraktığı bir dünya hayal ediyor.

CarePod’un içinde hastalar telefonlarıyla ünitenin kilidini açıyor ve robotik bir sesin talimatlarını takip ederek vücut taramaları, tansiyon ölçümleri ve parmakla kan alma gibi kendi kendilerine uyguladıkları teşhislerde onlara rehberlik ediyor. Ancak, perde arkasında henüz hala lisanslı tıp uzmanları mevcut, sonuçlar video veya sohbet yoluyla uzaktan yorumlanıyor. Sınırsız erişim için aylık 99 dolar fiyat biçilen CarePods, proaktif sağlık ve zindeliğe odaklanan dijital yerli nesilleri hedefliyor.

Aoun, ölçeklenebilirliğin anahtarının pahalı insan kaynaklarına olan bağımlılığı azaltmakta yattığını ileri sürüyor. Yerinde asistanlar tarafından yalnızca ara sıra bakım gerektiren CarePods, geleneksel sağlık hizmeti ortamlarıyla ilişkili işgücü maliyetlerini azaltmayı amaçlıyor. Bu hamle, doktor eksikliğinin ve randevu için ortalama 26 günlük bekleme süresinin önemli zorluklar oluşturduğu ABD’de erişilebilir birinci basamak sağlık hizmetlerine duyulan acil ihtiyacı da karşılamış olacaktır.

Kaynak ve devamına Buradan ulaşabilirsin.

Genetik Test Bir Hediyedir. Ama Bu Bir Hediye Olmamalı


Arkadaşlarınıza ve Sevdiklerinize Doğrudan Tüketiciye Genetik Test Kitleri Vermeden Önce İki Kez Düşünün

Birkaç yıl önce, bir hastam – ona Pandora diyelim – kendisi ve kardeşleri için tatil hediyesi olarak dört DNA test kiti satın aldı. Birkaç ons tükürüğün ailesinin kökenleri hakkında ulaşılamaz ayrıntıları ortaya çıkaracağını vaat eden TV reklamlarını görmüştü ve bu açılış deneyimini küçük kardeşleri ile paylaşmanın eğlenceli olacağını düşünüyordu.

Sonuçlar geldiğinde, onları hevesle açtı ve hemen mirası hakkında bilgiyle değil, bir teklifle karşı karşıya kaldı: birkaç ekstra dolar karşılığında, kaydolduğu ataların verilerine ek olarak sağlık özelliklerine erişimin kilidini açabildi. Kafeine karşı genel nüfustan daha fazla mı yoksa daha az mı hassastı? Derin veya hafif uyuyan biri olması muhtemel miydi? Her dondurma yediğinde hissettiği şişkinlik “tamamen kafasında” mıydı (doktorlarından birinin önerdiği gibi) yoksa laktoz intoleransı genetik olarak doğrulanabilir mi? Çok fazla tereddüt etmeden eklentiyi satın almaya karar verdi.

Son tahminlere göre, Alzheimer hastalığı geliştirme şansının yüzde 100’e yakın olabileceği anlamına gelen APOE4 mutasyonunun iki kopyasını taşıdığını bu şekilde öğrendi.

İlk şokundan kurtulduğunda, Pandora bu haberi adım adım aldı. Önleyici stratejilere odaklanmasını söyleyen birinci basamak sağlık hizmeti sağlayıcısıyla görüştü: diyet ve egzersiz. Haftada en az beş kez daha fazla sebze yedi ve egzersiz yaptı. Genel olarak, genetik durumu hakkında bilgi sahibi olduğu için minnettar hissetti, bu da ona kaderi üzerinde bir güç ve ajans duygusu verdi.

Biten her şey iyidir, değil mi?

Tam olarak değil.

Genetik test, Pandora’nın küçük kardeşlerinden birinin de APOE4 geninin iki kopyasını taşıdığını ortaya çıkarmıştı. Ve haberi oldukça farklı bir şekilde aldı. Alzheimer için artan risklerinin ortaya çıkmasını takip eden haftalarda, Pandora’nın erkek kardeşi depresyona ve umutsuzluğa girdi. Pandora bir fırsat gördüğü yerde – hatta silahlanma çağrısı – erkek kardeşi sadece bir azap gördü.

Bir klinik nörolog olarak, DNA testinin mantıklı olup olmadığını tartışmak için hastaları genellikle deneyimli genetik danışmanlara yönlendiriyorum. Nadiren değil, öyle. Birçok bağlamda, genetik analiz kritik içgörüler sağlayabilir ve hastaları sağlıkları hakkında bilinçli kararlar almaları için güçlendirebilir. Ancak danışmanlık sürecindeki ilk adım, testin nasıl çalıştığını açıklamak ve bir kişinin genetik test yapıp yapmaması gerektiğini belirlemektir. Bir uzmanın tavsiyesi olmadan, genetik sonuçların etkilerini kavramak ve birinin tam olarak ne için test edildiğini ve edilmediğini bilmek zor olabilir.

Karmaşıklıklarını gezinebilen ve sınırlamalarını anlayabilenler için (bu, biyoloji ve muhtemelen sözleşme hukukunda ileri dereceler gerektirebilir), doğrudan tüketiciye yönelik genetik testler ilginç ve bazen yararlı bilgiler sunabilir. Ancak genlerimizi herhangi bir yöntemle ortaya çıkarma kararını vermek, belirsizlikle, ön bilginin ağırlığıyla ve potansiyel olarak kötü haberlerle nasıl başa çıkacağımızı derinlemesine düşünmemizi gerektirir. Ve bu son derece kişisel seçim asla başkası adına yapılmamalıdır. Genetik test kitleri, her zamankinden daha kişiselleştirilmiş sağlık hizmetlerimizde önemli bir rol oynayabilir, ancak Noel ağaçlarının altında, menorahların yanında veya üstte fiyonklarla çevreleyen mkekas’ta görünmemelidir.

Yine de, geçmişte doğrudan tüketiciye bir genetik test kiti verdiyseniz, kendinize karşı çok sert olmayın. Yüzeyde, bu kitler, ayın yumuşak peyniri aboneliği veya başka bir çift yün çorap hediye etmek için mantıklı, anlamlı alternatifler gibi görünüyor. Ve sektörün tatil pazarlama kampanyaları, sezonun aile bağlarına artan odaklanmasından yararlanıyor. Uzun zamandır kayıp olan akrabaları keşfetme veya unutulmuş soyları ortaya çıkarma potansiyelini vurgulayan reklamlar, birden fazla test kiti satın almada (artı ücretsiz hediye paketi) büyük indirimlere eşlik edebilir. Doğrudan tüketiciye test eden şirketlerden gelen kazanç raporları, müşteri talebinin genellikle yılın son birkaç ayında arttığını doğrulamaktadır.

Genetik merdivenlerimizin her basamağını inceleme zorlaması, bağırsak mikrobiyomu analizi ve sürekli glikoz izlemeden (diyabeti olmayan kişilerde), tüm vücut MRI taramasına kadar sağlık ve zindelikteki diğer eğilimleri takip eder. James Watson ve Francis Crick’in 70 yıldan fazla bir süre önce çift sarmalın yapısını ortaya çıkarmasından bu yana, kalıtımın arkasındaki bilim hakkındaki anlayışımız katlanarak genişledi, çığır açan tedavilerin ve bazı durumlarda bir hastalık tutma fırsatı bulmadan yıllar önce müdahale etme yeteneğinin önünü açtı. Ancak genetik testler, veri gizliliği, kimliğin doğası, ayrımcılık potansiyeli ve yanlış yorumlama riskleri gibi çok çeşitli zorlu etik ve felsefi soruları da modern tıp pratiğine aşılamıştır.

Bu sorular bazı tüketicileri tükürüklerini kurumsal kuruluşlara gönderme konusunda temkinli hale getirdiyse, pazar araştırması onların suskunluğunu yakalamamıştır. 2019 yılına kadar dünya çapında 26 milyondan fazla insan doğrudan tüketiciye DNA analizine katılmıştı (tam açıklama: Ben de onlardan biriyim, ancak kitimi hediye olarak almadım). 2023’te endüstrinin küresel değerinin 17,7 milyar dolar olduğu tahmin edildi ve büyüyordu.

Son on yılda, ortaya çıkarılan aile sırlarının hikayeleri – sadece birkaçını saymak gerekirse gizli kardeşler, gizli aşk ilişkileri ve gizli evlat edinmeler – ticari genetik testlerin en efsane, istenmeyen sonuçları olarak yaygın ilgi gördü. Ancak yüksek riskli taşıyıcılar için, genetik hastalık yatkınlıklarının ortaya çıkarılması daha az dramatik olamaz.

Geleceğe bir bakıştan derinden etkilenmek size garip geliyorsa, olmamalı. Sonuçta, çoğumuz, başımıza girebileceğine inandığımız şeyler tarafından şekillenen yaratıklarız. İleride ne olduğunu bilmek veya bildiğimizi düşünmek, mevcut yaşamlarımızın görünmez bir mimarı haline gelebilir, kendimizi ve dünyadaki yerimizi nasıl algıladığımızı değiştirebilir. Eski Yunanlılar, Shakespeare’in yaptığı gibi bunu anladı; Örneğin Oedipus ve Macbeth, kehanetlerin gücüyle geri alındı.

Psikologlar bu tür düşünceye “gelecek odaklı önyargı” diyorlar – tahminlerin düşüncelerimizi, eylemlerimizi ve hatta kimliklerimizi olabileceklere doğru bükme eğilimi. Ancak, tüm tahminleri görmezden gelmeye karar versek bile, bazıları için diğerlerinden daha fazla tahmin edilen bir kaderin gölgesi, ruhta oyalanma eğilimindedir.

Geç başlangıçlı Alzheimer hastalığı için bilinen en güçlü genetik risk faktörü olan APOE4, hediye alıcıları üzerinde psikolojik hasara yol açabilecek sağlıkla ilgili tek varyant değildir, ancak Alzheimer hastalığı için tedavi ve önleme seçenekleri oldukça sınırlı kaldığından zihinsel olarak en külfetli olanlar arasındadır. (DNA’nın yapısını keşfeden ikilinin yarısı olan Watson bile, genomu aughts’ta sıralandığında APOE4 durumunun redeksyonunu ünlüdür.) Bazı genetik test şirketleri, APOE4/Alzheimer de dahil olmak üzere belirli mutasyonları ve bunlarla ilişkili hastalık risklerini gizleme seçeneği sunar. Ancak genetik hakkında sağlam bir kavrayış olmadan, tüketiciler (Pandora’nın erkek kardeşi ve sayısız diğerleri gibi) böyle bir seçeneğin neden önemli olduğunu takdir edemeyebilir – çok geç olana kadar.

Bu tatil sezonunda hala genetik içgörü hediye etmeyi düşünüyorsanız, sizi düşünceli bir şekilde ilerlemeye çağırıyorum. Sevdiklerinizle potansiyel sonuçlar ve riskler hakkında açık konuşmalar yapın ve herhangi bir karar vermeden önce onları bir genetik danışmana danışmaya teşvik edin. DNA’mızın sırlarını ortaya çıkarmak söz konusu olduğunda, en büyük hediye doldurulmayı bekleyen bir test tüpü değil, bu sırları ne zaman ve keşfedeceğinizi seçme özgürlüğü ve alanıdır.

Kaynak ve devamına Buradan ulaşabilirsin.

İnsan tüberkülozunda immünopatoloji

Mycobacterium tuberculosis (M.tb), insanlarda evrimleşmiş bakteriyel bir patojendir ve konakçı ile etkileşimleri karmaşıktır ve en iyi insanlarda incelenmiştir. Sayısız bağışıklık yolu, enfeksiyon kontrolü, granülom oluşumu ve tüberküloz (TB) hastalığına ilerlemede rol oynar. Makrofajlar, nötrofiller, konvansiyonel ve konvansiyonel olmayan T hücreleri, B hücreleri, NK hücreleri ve doğuştan gelen lenfoid hücreler gibi enflamatuar hücreler, enfeksiyonu kontrol altına almak veya ortadan kaldırmak için sitokinler, hücre-hücre iletişimi ve eikosanoid sinyalleme yoluyla etkileşime girer, ancak alternatif olarak patojen iletimi için gerekli patolojik değişikliklere aracılık edebilir. Klinik belirtiler arasında pulmoner ve ekstrapulmoner TB ve ayrıca TB sonrası akciğer hastalığı bulunur. Tüberkülozun ilerlemesi için risk faktörleri, büyük ölçüde bağışıklık durumu ile ilgilidir ve geleneksel kemoterapiden ayrı olarak, müdahaleler öncelikle bağışıklık mekanizmalarını hedef alır ve tüberkülozda immünopatolojinin kritik rolünü vurgular. Koruyucu bağışıklık elde etmek ve zararlı inflamasyonu önlemek için efektör mekanizmalar arasında bir denge sağlamak, TB’nin immünopatogenezinde merkezi bir öneme sahiptir. Birçok araştırma boşluğu devam etmektedir ve insan TB immünopatogenezi hakkındaki anlayışımızı geliştirmek için önceliklendirmeyi hak etmektedir.

Kaynak:Buradan devamına ulaşabilirsiniz

Görsel:https://dradaletdemir.com/wp-content/uploads/2021/07/tuberkuloz.jpg